最近我发现了一个超级有趣的话题,那就是“牙坏了图片”。你是不是也有过这样的经历,突然间发现牙齿出了问题,然后上网一搜,哇塞,原来这么多人都有类似的困扰!今天,我就要带你一起探索这个神秘的世界,看看那些让人哭笑不得的牙坏了图片,感受一下牙齿问题的真实写照。

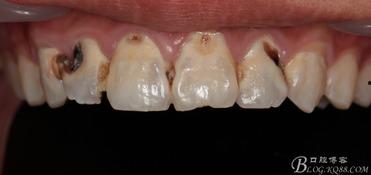
首先,让我们来看看牙齿的“伤痕累累”吧。想象一颗原本洁白如玉的牙齿,突然间变得黑乎乎的,甚至还有洞洞,那画面简直让人心疼。这不,网上就有一组牙齿坏掉的图片,简直让人触目惊心。
在这些图片中,有的牙齿已经严重龋坏,露出里面的神经,让人看了都忍不住想捂住眼睛。还有的牙齿因为蛀牙而变得坑坑洼洼,就像一颗被虫子蛀过的苹果。这些牙齿的“伤痕累累”,无疑是在提醒我们,保护牙齿的重要性。

除了“伤痕累累”,牙齿还有各种各样的“奇形怪状”。有的牙齿因为长歪了,看起来就像一颗“独眼龙”,让人忍俊不禁。还有的牙齿因为长不出来,只能躲在牙龈下面,形成一颗“隐形牙”。
在网上,有一组牙齿长歪的图片,简直让人笑到肚子疼。其中一张图片里,一颗牙齿竟然长成了“S”形,就像一条蜿蜒的蛇。还有一张图片,一颗牙齿因为长歪,竟然把旁边的牙齿都挤得变形了。这些奇形怪状的牙齿,让人不禁感叹大自然的神奇。

当然,牙齿坏了并不可怕,关键是要找到合适的修复方法。在网上,有很多牙齿修复的创意图片,让人眼前一亮。
有的牙齿修复采用了陶瓷材料,让牙齿看起来和真的一样。还有的牙齿修复采用了全冠修复,让牙齿焕然一新。更有趣的是,有的牙齿修复竟然采用了3D打印技术,让牙齿的修复过程变得如此神奇。
在这些创意修复的图片中,最让人印象深刻的是一颗被修复成卡通形象的牙齿。这颗牙齿原本因为蛀牙而变得坑坑洼洼,经过修复后,竟然变成了一个可爱的卡通人物。这样的修复,不仅让牙齿恢复了健康,还增添了一份趣味。
我们来聊聊牙齿的日常护理。牙齿坏了,很大程度上是因为日常护理不当。所以,要想拥有一口健康的牙齿,日常护理可是关键。
在网上,有很多牙齿护理的图片,比如正确的刷牙方法、使用牙线、定期洗牙等。这些图片详细地展示了如何保护牙齿,让人一看就明白。
其中,有一张图片展示了正确的刷牙方法,让人不禁感叹,原来刷牙还有这么多讲究。还有一张图片,展示了如何使用牙线,让人学会了如何清洁牙缝,预防牙菌斑。
牙齿坏了并不可怕,关键是要学会如何预防和护理。通过这些牙坏了图片,我们可以了解到牙齿问题的严重性,以及如何保护我们的牙齿。
在这个信息爆炸的时代,网络上的图片资源丰富多样,让我们可以轻松地了解到牙齿问题的方方面面。所以,下次当你看到牙坏了的图片时,不妨停下来,仔细观察,从中汲取一些有用的知识,让自己的牙齿更加健康。毕竟,拥有一口好牙,才能吃嘛嘛香,身体倍儿棒!